prothèse oculaire,épithèse
prothèse oculaire,épithèse
 

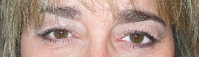
Présentation de Arnaud Thivet Ocularisme

Galerie photos : un aperçu de notre travail

Verre Scléral et microphtalmie congénitale : oeil conservé

Eviscération

Enucléation

 

Arnaud Thivet Ocularisme ,  Le seul Laboratoire de  prothèse oculaire sur mesure dans  l'Hérault, vous propose une prise en charge personnalisée pour la réalisation et l'adaptation de votre appareillage.



 

 

Aperçu de nos avantages



  • Arnaud Thivet, oculariste agréé et conventionné est votre seul interlocuteur et réalise lui même votre prothèse sur mesure de grande qualité.
  • Prise en charge de votre prothèse oculaire sans avance de frais, ni dépassement d'honoraires.
  • Disponibilité et respect des temps de rendez-vous : pour réaliser un travail sur mesure, il est necessaire d'avoir un minimun de temps pour la prise de mesures en consultation : 3/4 d'heure à 1heure par rendez-vous de consultation et une fabrication artisanale et personnalisée ( 10 à 15 heures de fabrication) vous garantit un travail sérieux, de qualité tout en restant à votre écoute.

 

Vous souhaitez en savoir plus sur nous et sur nos services ?

Nous serions ravis de vous aider. Contactez-nous au 04 67 18 91 51 / 06 83 12 99 49 ou utilisez notre formulaire de contact.

 

Contact

Arnaud Thivet Ocularisme

 

  • 87 avenue de Palavas

34070 MONTPELLIER

 

  • 24 bis rue de la Distillerie

34770 GIGEAN

 

  • Prochainement 

34500 BEZIERS

 

  • optic 2000, bonne source

centre commercial Carrefour,

28 boulevard de Creissel (entrée porte Sud)

 

11100 NARBONNE

 

  • CHANARD OPTIQUE,

2, place Bardou - Job 2

 

66000 PERPIGNAN

 

Vous pouvez nous appeler au :

 

Tel : 04 67 18 91 51

 

Portable : 06 83 12 99 49 

 

E-Mail :

arnaud.thivet.ocularisme@orange.fr

 

Vous pouvez également utiliser notre formulaire de contact.

Actualités

Désormais aussi sur Internet

Découvrez dès maintenant sur Internet tout ce que vous devez savoir sur nos services.

 

Tous les messages

Version imprimable | Plan du site
© Arnaud Thivet Ocularisme

Site créé avec IONOS MyWebsite.